微信公众号

互联网医院

微信公众号
就诊时间:上午 8:30-12:00 下午 2:30-5:30(节假日另行安排)

首页> 新闻公告

上一篇
下一篇
【介入新时代】乌兰察布市中医蒙医综合医院首例全脑血管造影术成功,开启脑血管诊疗新征程
作者:zhangyuanyuan   发布时间:2025年02月09日 1115


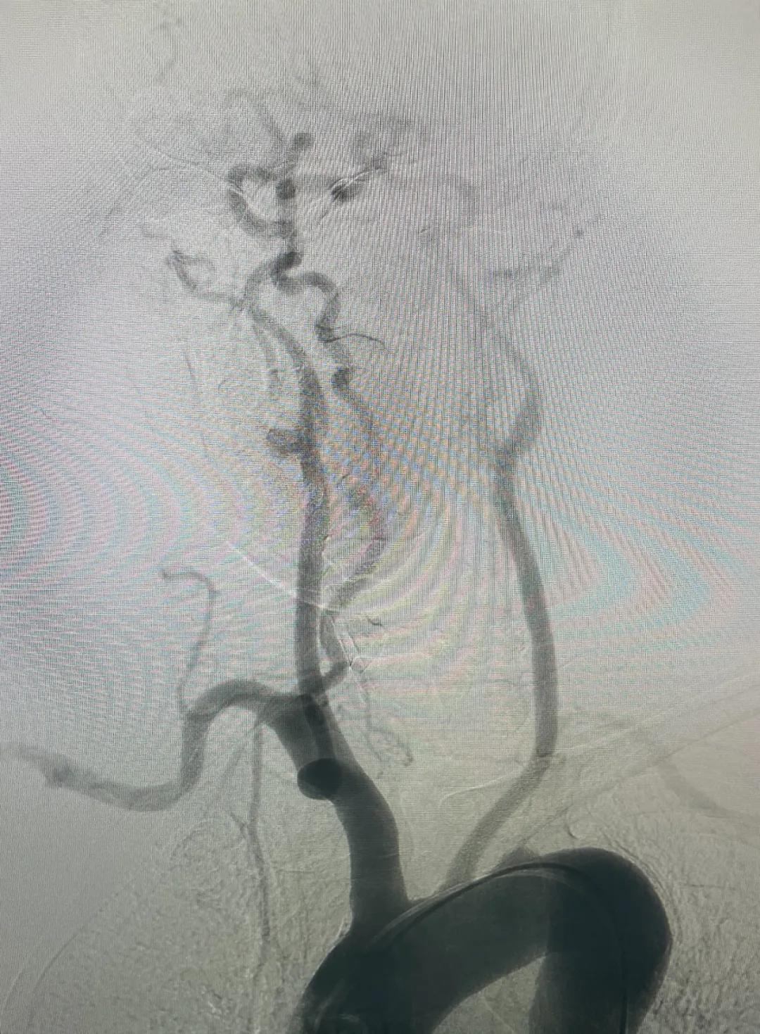
    2025年2月8日上午,乌兰察布市中医蒙医综合医院迎来了一个振奋人心的时刻:在多方紧密配合下,首例全脑血管造影术成功实施。手术顺利完成,患者术后情况稳定,这不仅是医院发展的重要里程碑,更为乌兰察布及周边地区百姓的脑血管健康带来了福音。






    全脑血管造影术是脑血管疾病诊断的“金标准”,能精准显示脑血管形态和病变,为后续治疗提供关键信息。这次手术成功,展现了医院神经内科团队的专业实力,也体现了多学科协作的高效。



如今,医院神经介入诊疗中心已具备开展多项核心技术的能力:

    全脑血管造影术:精准锁定脑血管病变,为后续治疗筑牢根基。

    急性大血管闭塞性脑梗死动脉取栓术:和时间赛跑,快速清除堵塞血管的血栓,最大程度拯救患者生命和神经功能。

    颅内外血管狭窄支架成形术:通过植入支架撑开狭窄血管,让血液畅通无阻,有效预防脑梗死等严重疾病。

    蛛网膜下腔出血动脉瘤栓塞术:及时封堵动脉瘤,防止破裂出血,大大降低患者生命风险。

    这些技术的开展,意味着以后本地患者不用再四处奔波,在家门口就能享受到高水平的脑血管疾病诊疗服务,节省了时间和费用,还能获得更及时、便捷的救治。

    未来,乌兰察布市中医蒙医综合医院将不断提升急危重症脑血管疾病的救治能力,用更先进的技术和更贴心的服务,守护大家的健康。






上一篇
下一篇